¿TIENES RECESIÓN DE ENCÍAS?

¿Qué es una recesión gingival?
La recesión gingival o de encías es una retracción de la encía que deja al descubierto la raíz del diente que anteriormente estaba cubierta por la encía.
¿Por qué se producen?
Existen distintas causas, como una técnica de cepillado traumática, el uso de un cepillo duro o incluso la utilización de dentífricos abrasivos, como los blanqueadores. Además, también se pueden provocar por una acumulación excesiva de sarro, prótesis mal ajustadas o incluso por una posición incorrecta de los dientes.
¿Cómo se solucionan?
En primer lugar se debe hacer un diagnóstico correcto, ya que determinando la causa podremos realizar un tratamiento u otro. La solución puede ir desde una simple limpieza con instrucciones de higiene oral adaptadas a cada paciente, hasta técnicas de microcirugía mucogingival, donde se extrae una pequeña porción del paladar del propio paciente y se coloca sobre la raíz dental que deseamos cubrir.
¿Qué ocurre si no las trato?
La recesión gingival puede producir sensibilidad dental, inflamación gingival, sangrado o dificultad de cepillado. Igualmente, crea problemas estéticos, ya que el diente se ve más largo. Existen casos donde la recesión progresa de forma descontrolada y puede causar la pérdida del diente.
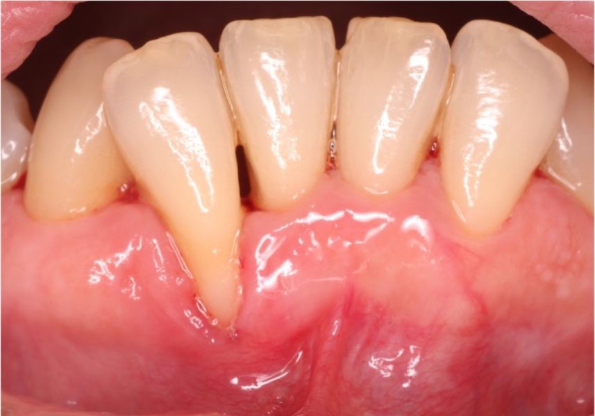
CASO CLÍNICO
Os presentamos un caso clínico real de la Clínica Dental Mormeneo donde la paciente acude con sensibilidad dental y continuo sangrado e inflamación de la zona. Tras un correcto diagnóstico, se lleva a cabo una microcirugía mucogingival para obtener recubrimiento de la recesión y aumento de la banda de encía adherida. Esta técnica permite al paciente obtener un mayor confort al cepillar la zona, reduciendo la inflamación y por tanto, manteniendo la salud gingival necesaria para mantener el diente a largo plazo; además se devuelve la estética de la zona.

Foto inicial con gran cantidad de placa y sarro acumulado.

Foto tras fase desinflamatoria de raspado y alisado radicular.

Foto detalle tras injerto de encía mediante microcirugía mucogingival.