Ir al contenido principal

NOS VAMOS DE CONGRESO…

Hace unos días se celebró en Bilbao el Congreso Anual Nacional de la Sociedad Española de Periodoncia e Implantes Dentales (SEPA), de la cual somos socios, donde hubo ponencias de reputados profesionales internacionales. Nuestra Doctora Alba Mormeneo acudió para conocer de primera mano las técnicas más novedosas y mantenerse en constante formación para poder ofreceros la mejor atención odontológica especializada. Si tienes dudas o quieres más información para mejorar tu salud bucodental en Utrillas ¡Pide cita y visítanos!

Continuar leyendo

CHARLA CON LOS MÁS PEQUES

Hace unas semanas visitamos el colegio de nuestro pueblo, el CEIP Villa de Utrillas, y explicamos a los más peques de primero y segundo la importancia de mantener sanos los dientes. Mediante juegos y con la ayuda de unos amigos muy peculiares hablamos entre otras cosas de las partes de la boca, tipos de dientes, técnicas de cepillado, hábitos dietéticos, importancia de visitar al dentista, etc.  Además, los niños pudieron aclarar sus dudas ¡Qué fueron muchas! Desde la clínica dental Mormeneo en Utrillas, apostamos por la prevención desde bien pequeños, porque una...

Continuar leyendo

CURIOSIDADES DE LAS MUELAS DEL JUICIO

Los terceros molares o cordales, más conocidos como las muelas del juicio son las últimas muelas que salen en la boca, entre los 16-25 años, etapa en la que se considera que hemos desarrollado la suficiente madurez. Prácticamente las tenemos olvidadas hasta que nos producen molestias, pero ¿Quieres saber más curiosidades sobre estas muelas? Ahí van algunas. ¿De dónde vienen? Son vestigios de la evolución humana, es decir, son herencia de nuestros antepasados Neandertales, ya que necesitaban una dentición más fuerte y con más piezas para desgarrar y masticar los alimentos...

Continuar leyendo

DIA MUNDIAL DE LA SALUD BUCODENTAL

Hoy, día 20 de marzo, se celebra el Día de la Felicidad y el Día de la Salud Bucodental y no es coincidencia, porque una sonrisa saludable y bonita es sinónimo de felicidad. ¿Sabías que al sonreír se liberan endorfinas? La conocida «hormona de la felicidad» mejora el estado de ánimo y proporciona un mayor sentimiento de bienestar. Desde la Clínica Dental Mormeneo en Utrillas, queremos concienciar sobre la importancia que tiene cuidar nuestra boca, para evitar complicaciones y disfrutar de una sonrisa saludable que dure toda la vida. Hoy y siempre, no dejes de sonreír.

Continuar leyendo

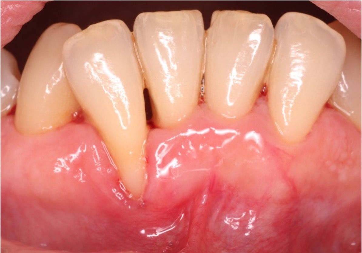
¿TIENES RECESIÓN DE ENCÍAS?

¿Qué es una recesión gingival? La recesión gingival o de encías es una retracción de la encía que deja al descubierto la raíz del diente que anteriormente estaba cubierta por la encía. ¿Por qué se producen? Existen distintas causas, como una técnica de cepillado traumática, el uso de un cepillo duro o incluso la utilización de dentífricos abrasivos, como los blanqueadores. Además, también se pueden provocar por una acumulación excesiva de sarro, prótesis mal ajustadas o incluso por una posición incorrecta de los dientes. ¿Cómo se solucionan? En primer lugar se debe hacer...

Continuar leyendo

Nos vamos de vacaciones

¡Nos tomamos un descanso! La Clínica Dental Mormeneo en Utrillas permanecerá cerrada por vacaciones del 14 de agosto al 28 de agosto por la tarde. Puedes dejar un mensaje en el teléfono 978 75 83 61. Os dejamos algunos consejos vacacionales: Cepilla tus dientes después de cada comida y no olvides emplear seda o cepillos interdentales. Reduce todo lo que puedas el consumo de bebidas azucaradas o alimentos con alto contenido en azúcares. Hidrátate y recuerda beber suficiente agua de forma diaria. Sonríe bajo el sol, pero siempre protegiéndote, incluye un protector solar...

Continuar leyendo

Aprendiendo de los mejores

Nuestra doctora Alba Mormeneo ha viajado a Bilbao durante este mes de julio para formarse con el doctor Zabalegui, referente a nivel nacional e internacional en periodoncia, implantes y cirugía mucogingival. Durante la estancia, nuestra doctora ha ampliado sus conocimientos en técnicas de implantes dentales y cirugías regenerativas de hueso y de encía. En la Clínica Dental Mormeneo apostamos por una formación continuada para ofrecer a nuestros pacientes los tratamientos más innovadores en Utrillas.

Continuar leyendo

Cepíllate los dientes

Seguro que no es la primera vez que te decimos esto, es el consejo más sencillo y valioso para mantener una boca sana y bonita. Existen multitud de técnicas de cepillado, lo importante es que no lesionen la mucosa y sean capaces de eliminar la placa bacteriana. Por lo general, se recomienda dividir la boca en cuatro cuadrantes (dos para la parte de arriba y otros dos para abajo). En cada cuadrante se deben cepillar todos los dientes y todas las superficies, al menos 30 segundos, realizando movimientos de barrido colocando el cepillo entre el diente y la encía a unos 45º; a continuación, los...

Continuar leyendo

Bienvenidos al blog de la Clínica Dental Mormeneo

Bienvenidos al blog de la Clínica Dental Mormeneo, cuyo objetivo es ofreceros toda la información relativa a la clínica dental, así como aconsejaros sobre salud oral y alguna que otra curiosidad dental. La Clínica Dental Mormeneo fue fundada en el año 1986 en Utrillas, por el Doctor Juan José Mormeneo Ibáñez, impulsando nuestro proyecto y estableciendo una manera concreta de entender la profesión basada en devolver la SALUD, la FUNCIÓN y la ESTÉTICA bucodental a cada uno de nuestros pacientes.

Continuar leyendo

Ir al contenido
Resumen de privacidad

Esta web utiliza cookies para que podamos ofrecerte la mejor experiencia de usuario posible. La información de las cookies se almacena en tu navegador y realiza funciones tales como reconocerte cuando vuelves a nuestra web o ayudar a nuestro equipo a comprender qué secciones de la web encuentras más interesantes y útiles.